尿がん検査は
マイシグナル
マイシグナル


TV CM
放映中
放映中
マイシグナルの説明やご相談をご希望の方は無料の相談窓口をご利用ください。専任スタッフが丁寧にご案内いたします。
全国の医療機関で
選ばれる高い信頼性
選ばれる高い信頼性
国立がん研究センター・
国内外の大学との共同研究
国内外の大学との共同研究
ノーベル賞を受賞した
マイクロRNAを実用化
マイクロRNAを実用化
※尿×AI×マイクロRNAを用いたがんリスク検査サービスとして (第三者機関調査)
様々な企業・団体にも選ばれています

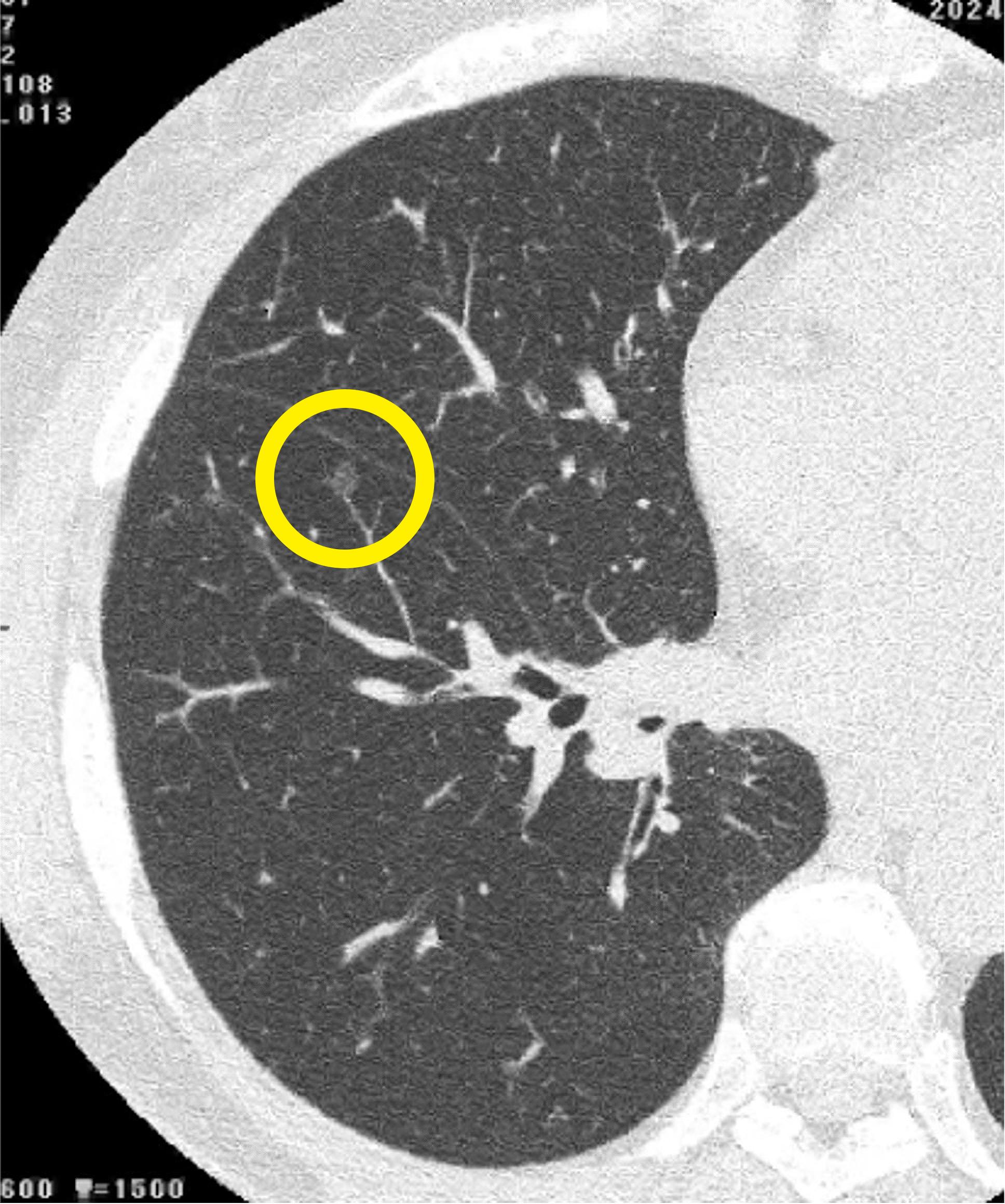
マイシグナルがきっかけで
ステージ0のがんを発見
ステージ0のがんを発見
マイシグナル・スキャンを受けて肺がんのリスクが検出された60代のお客さま。精密検査を経て、北海道大学病院呼吸器外科で該当腫瘍を切除する手術を実施し、無事にステージ0の肺がんを取り除くことができました。

レントゲンでは通常映らない、4mm程度の超早期がんのCT画像
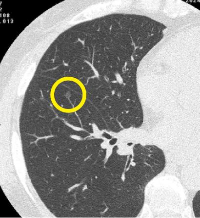
マイシグナルがきっかけで
ステージ0のがんを発見
ステージ0のがんを発見
マイシグナル・スキャンを受けて肺がんのリスクが検出された60代のお客さま。
精密検査を経て、北海道大学病院呼吸器外科で該当腫瘍を切除する手術を実施し、無事にステージ0の肺がんを取り除くことができました。
精密検査を経て、北海道大学病院呼吸器外科で該当腫瘍を切除する手術を実施し、無事にステージ0の肺がんを取り除くことができました。

レントゲンでは通常映らない、4mm程度の超早期がんのCT画像
マイシグナルとは
尿のマイクロRNAを調べがんリスクを「ステージ1」から判定できる検査です

日本のがん死亡総数の約8割※1を占める
10種※2のがんリスクを判定します
10種※2のがんリスクを判定します










※1 国立がん研究センターがん情報サービス「がん統計」(厚生労働省人口動態統計)、ただし造血器腫瘍を除く。がんの死亡率については2021国立がん研究センターのホームページより。 ※2 女性は前立腺がんを除く9種、男性は乳がん・卵巣がんを除く8種が検査対象となります。


早期すい臓がんに対する尿のマイクロRNA検査の
感度・特異度※
92.9%
※
感度 … 病気のある人を正しく、「病気がある(陽性)」と判定できる割合
特異度 … 病気のない人を正しく、「病気がない(陰性)」と判定できる割合
尿のマイクロRNA検査は
検知が難しいとされる早期すい臓がんでも
優れた検出性能が確認されました
従来のすい臓がんの血液マーカーであるCA19-9の早期がん (ステージI/IIA)の感度は37.5%に対して、尿中マイクロRNA検査は感度92.9%。
尿中マイクロRNA検査は早期がんの検出性能が優れていることが明らかになりました。
血液マーカーCA19-9と尿中マイクロRNAの
すい臓がん検出感度※1

※本研究成果は世界五大医学雑誌の1つLancetの姉妹紙(eClinicalMedicine)に掲載されました。eClinicalMedicine 2024: 78: 102936.
※1 感度と特異度のバランスが最も良いしきい値を設定した場合の数値。すい臓がん全体での感度は88.2%
がん種別に判定できるから、
次のアクションが明確
次のアクションが明確
万一リスクが高かった場合も、「次にどの科へ行けばいいか」と迷うことはなく、相談すべき診療科が明確です。

自宅で、がんのリスクを早期発見
がんの早期発見によるメリット
5年相対生存率
92.4%
治療費の削減効果
約300万円
入院日数の差
約60日
一方で、検査で発見可能な早期がんの期間は短くがんによっては半年〜2年程度と言われています。
がんの進行スピード例
参照: 文部科学省 「がん教育推進のための教材」スライド教材モジュール3:がんの発生と進行
定期的な検査で早期発見のタイミングを逃さないことが重要
マイシグナルなら自宅から尿を送るだけで、複数のがんのリスクをまとめて調べることができます
がん種ごとにリスクを特定できるため、万一リスクが高かった場合も次に相談する診療科が明確です
医療機関の声
※弊社から各先生に依頼をし、頂いたコメントを編集して掲載しているものです
遺伝子検査※1との組み合わせで、より包括的ながん対策を
定期便
(12ヶ月ごと/6ヶ月ごと)
79,100
円
12
月
22
日まで
定期おとく割
通常の13,800円OFFに加えて
定期便がさらに
5,000
円OFF
一回のみ
89,100
円
がん対策セット割引8,800円OFF
検査対象:すい臓がん、肺がん、胃がん、大腸がん、食道がん、卵巣がん、乳がん、前立腺がん、腎臓がん、膀胱がん※女性は前立腺がんを除く9種、男性は乳がん・卵巣がんを除く8種が検査対象となります。
※1医療行為として実施される遺伝子検査は含まれません。
検査の流れ


お近くのドラッグストア・調剤薬局でもお買い求めいただけます
一部店舗での取り扱いになります。下記のページより取り扱い店舗をご確認ください。
ご利用者の声
受賞歴・メディア掲載実績
マイシグナルは、名古屋グランパスのクラブパートナーです
©N.G.E.
マイシグナル
®3つのお約束
マイシグナルのご購入はこちら

マイシグナル・スキャン
マイクロRNA×AIで、がんリスクを早期発見
定期便
(12ヶ月ごと/6ヶ月ごと)
59,300
円
12
月
22
日まで
定期おとく割
通常の5,000円OFFに加えて
定期便がさらに
5,000
円OFF
一回のみ
69,300
円

がん対策セット
ナビとスキャンで将来と現在のリスクを把握
定期便
(12ヶ月ごと/6ヶ月ごと)
79,100
円
12
月
22
日まで
定期おとく割
通常の13,800円OFFに加えて
定期便がさらに
5,000
円OFF
一回のみ
89,100
円
※ 売り上げは2025年8月現在のものです。 ※ 定期便の場合、家族割の割引は1回目のみ対象となります。 ※ マイシグナル・ナビは初回のみのお届けとなります。
よくあるご質問
Q
検査結果はいつ、どのような形で受け取れますか?
検体を提出いただいた後、弊社の衛生検査所で受領した日から1ヶ月以内を目処に結果表をお送りしております。
※時期によって前後する可能性がございます。
結果表は紙の冊子で登録住所へ郵送しておりますが、マイページにログインしていただくことでWeb上でも確認が可能です。
※時期によって前後する可能性がございます。
結果表は紙の冊子で登録住所へ郵送しておりますが、マイページにログインしていただくことでWeb上でも確認が可能です。
Q
どのような支払い方法がありますか?
Webサイトからの購入の場合、下記のお支払い方法を選択していただけます。
※電話でのお申し込みの場合は銀行口座へのお振込みのみとなります。
※電話でのお申し込みの場合は銀行口座へのお振込みのみとなります。
- クレジットカード決済
- コンビニでのお支払い
- 提携ATMでのお支払い
- 携帯キャリア決済
- 銀行口座へのお振込み
Q
検査の対象外となるのはどのような方ですか?
マイシグナル・ナビ
20歳未満の方はサービス対象外となります。
マイシグナル・スキャン
下記に該当する方はマイクロRNAとがんの関連性について十分な検証ができていないため、原則、検査対象外となります。
また、尿に血液が混じると検査に影響があるため、生理中の受検も避けていただいております。
- 妊娠中の方
- 20歳未満の方
また、尿に血液が混じると検査に影響があるため、生理中の受検も避けていただいております。
Q
購入した方と別の方が受検しても問題ないですか?
問題ございません。
受検する際、受検する方の情報は別途Web上で入力していただきます。購入した方の情報を検査に利用することはなく、検査結果が購入した方に共有されることもありません。
プレゼントとしても利用していただけます。
受検する際、受検する方の情報は別途Web上で入力していただきます。購入した方の情報を検査に利用することはなく、検査結果が購入した方に共有されることもありません。
プレゼントとしても利用していただけます。
Q
検査キットの使用期限はありますか?
弊社からの商品発送後、1年以内を使用期限とさせていただいております。
使用期限を過ぎた場合、検体をお送りいただいても受領することができません。また、返金のご対応もお受けすることができませんので、期限内での使用をお願いいたします。
使用期限を過ぎた場合、検体をお送りいただいても受領することができません。また、返金のご対応もお受けすることができませんので、期限内での使用をお願いいたします。
新着情報
メディア・取材
2025.12.08
<p>「すい臓がん啓発プロジェクト in 福岡」記者発表会について『西日本新聞』と『毎日新聞』で紹介いただきました。</p>
導入事例
2025.12.05
<p>尿がん検査「マイシグナル®」、総合メディカルが運営する調剤薬局「そうごう薬局」での取り扱いを全国707店舗に拡大</p>
導入事例
2025.12.05
<p>尿がん検査「マイシグナル®︎」、全国のドラッグストア・調剤薬局での取り扱い店鋪数が4,000店舗を突破。全47都道府県での販売体制を確立!</p><p></p>
メディア・取材
2025.11.28
<p>Craifの「バイオAI」技術について『Forbes Japan』にて紹介されました。</p>
メディア・取材
2025.11.27
<p>「すい臓がん啓発プロジェクト in 福岡」記者発表会について『RKB毎日放送』『FBS福岡放送』『KBC九州朝日放送』にて紹介いただきました。</p>

































































